皇冠信用盘代理 _女孩高考晕倒确诊骨癌!自己签字进行6次手术截肢,上海医生全力救治
五大联赛是哪五大(www.hg0088.us)-会员开户_登3代理)皇冠信用网/—开会员账号—皇冠信用网招登1登2登3皇冠信用网平台出租)“医生说有存活率,祝我好运吧皇冠信用盘代理 。
请说皇冠信用盘代理 ,公主请恢复健康”!
近日,上海,23岁女孩夏夏发视频表示,自己体内的骨癌细胞又一次转移了,这次是肋骨和胸膜皇冠信用盘代理 。新的化疗、靶向治疗,甚至切除手术,又将开始。


18岁确诊骨癌,19岁截肢,23岁面临多处转移皇冠信用盘代理 。 这就是夏夏过去五年的青春。肺叶切除,六次大手术,无数次化疗。为了“活下去”这个简单的愿望,她付出了常人难以想象的代价。
高考时晕倒确诊骨癌
右腿截肢
2021年,安徽合肥女孩夏夏时年19岁,夏夏是一位美术特长生,高考前,她发现自己的右腿不太对劲,“有时候痛得甚至走不动路,但真的舍不得放弃学业”皇冠信用盘代理 。
“高考考数学的时候我晕了过去,把监考老师吓一跳,最后一瘸一拐去厕所呕吐,再回来继续写考卷,太难了”皇冠信用盘代理 。
展开全文
高考结束后,夏夏立即去了医院皇冠信用盘代理 。后来,她被确诊为骨肉瘤,俗称“骨癌”,这是一种非常凶险的癌症。

夏夏说自己的“幸运值”不高,所以得了这种病皇冠信用盘代理 。由于从小体质就比较弱,夏夏对化疗反应很强烈,掉头发、皮肤变黑、呕吐……
医生想尽各种办法,提升她的白细胞、红细胞、血小板,但是,为了阻止恶性肿瘤进一步扩散,她的右腿还是没保住皇冠信用盘代理 。截肢后的她还是乐观面对生活,她说:“一条腿换一条命很值”。

高考成绩出来后,夏夏被安徽合肥的一所师范学院录取了,如果身体没有患病,她觉得自己的分数应该会更高一些皇冠信用盘代理 。
父母失联
自己签字手术皇冠信用盘代理 ,摆摊谋生
夏夏曾在视频里平静地讲述自己截肢的决定皇冠信用盘代理 。当活下去成为唯一的信念,所有的失去都可以被衡量、被承受。




更让人心疼的是,这场艰苦卓绝的战斗,她几乎是一个人完成的,爸爸一次都没有来过,妈妈也在她生病一年后断绝了联系,复杂的家庭情况让她早早独立,自己攒钱买假肢,自己签字做手术,自己拖着病体辗转于医院之间皇冠信用盘代理 。
就在以为日子会越来越好时,夏夏复查查出癌症转移到肺部,她再次入院接受手术皇冠信用盘代理 。

堆叠如山的账单让她难以支撑,她开始摆摊卖手工赚钱皇冠信用盘代理 。有网友在街边看到乐观开朗的她,通过视频讲述了她的故事,夏夏也因此受到媒体和网友的关注。


她说:“习惯一个人了皇冠信用盘代理 。”在她的社交账号上,年龄那一栏,她郑重地填上了“100岁”。一个23岁的骨癌晚期女孩,最大的愿望,是能活到100岁。 这不是玩笑,这是她对生命最深切、最直白的渴望。
上海医生全力救治
“请说皇冠信用盘代理 ,公主请恢复健康”
抗癌少女夏夏的故事被多家媒体报道,她的乐观与坚强不仅鼓舞了无数与恶性骨肿瘤斗争的患者,也深深感动了医护人员皇冠信用盘代理 。
上海市第一人民医院骨肿瘤科讲述了夏夏的最新情况:她经历了6次手术和无数次挑战,自2023年8月接诊以来,又完成了10次化疗和2次手术皇冠信用盘代理 。尽管困难重重,她始终以微笑和坚韧面对一切。

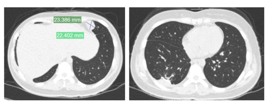
夏夏前期接受了术前化疗、截肢手术及术后化疗,使用的是一线化疗方案皇冠信用盘代理 。然而,结疗不到一年,肺部出现转移病灶,经过手术切除后未再进行化疗。术后5个月,左肺再次发现新发转移病灶。

2024年11月,夏夏接受胸腔镜下右肺下叶切除术皇冠信用盘代理 。2025年1月复查:右肺术后改变。
夏夏在最新的视频中表示,癌症转移到胸膜,她去瑞金医院寻求治疗方案,她将在上海接受肋骨和胸膜的切除手术皇冠信用盘代理 。视频中的夏夏虽然有疲态,但依旧乐观,还感谢帮助她推轮椅的好心人。




评论区都被她的积极乐观感染
让皇冠信用盘代理 我们一起说
“公主请恢复健康”








来源 | 新闻晨报 陆靖珺综合海报新闻、紫牛新闻、上海市一骨肿瘤科
猜你喜欢
- 2026-04-18足球外围买球网站 _亚冠-日本两队挺进四强 马宁赛后遭球员冲撞出示直红
- 2026-04-17皇冠信用账号怎么开 _广西靖西一地有人国道拦车?官方通报:5人被刑拘
- 2026-04-17皇冠信用网正网 _废旧医用胶片可炼银?有人称两个多月回收上万张,“每张能赚1块钱”,专家:别卖
- 2026-04-14皇冠信用盘会员开户 _西班牙首相桑切斯:中国注定要在世界的未来扮演关键角色
- 2026-04-13皇冠信用盘出租足球 _特朗普爆粗口:打伊朗每天耗资10亿,美军“最大麻烦”还是来了
- 2026-04-12hga030皇冠app下载 _亚马尔社媒一针见血:巴塞罗那就是布劳格纳!诺坎普五连胜背后的真相
- 2026-04-09世界杯足球平台出租 _大到暴雨夜袭武汉,目前全市主次干道无积水
- 2026-04-08世界杯平台开户 _录音曝光!以军高层罕见承认对伊朗战略误判,不清楚伊朗剩余弹道导弹库存,暗示可能需要和伊朗达成协议
- 2026-04-06皇冠d盘 _“天才少年”蜕变“大魔王” 赵心童刷新斯诺克历史
- 2026-04-06皇冠足球直播 _消息人士:特朗普特使及女婿正与伊朗密集谈判,讨论“为期45天的潜在停火协议条款”
- 2026-04-05皇冠投注 _“美方故作姿态:对中方行动,没兴趣”
- 2026-04-05皇冠密码找回 _约基奇与文班亚马加时对决:掘金以两分险胜,冠军底色与新星野心同场交锋



网友评论